广州穗华口腔专家认为,牙列不齐的人越来越多是遗传和环境两大因素造成的。人类进化过程中,颌骨逐渐化缩小,颌骨容纳不下所有的牙齿,导致牙量、骨量的不协调,出现牙列不齐;一些人吃的食物过于精细,对颌面部的功能刺激不够,或者有吮指、舔唇等不良习惯,也会造成牙列不齐。

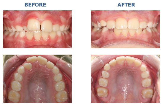
龅牙矫正前后对比
理想的矫牙年龄是青少年成长期(即发育高峰期)约11—14岁之间(前牙反(牙合)除外),此阶段矫治能充分利用青少年的生长发育潜力,配合矫正器的机械力,取得事半功倍的效果。有一种错(牙合)为前牙反胎(地包天),由于下前牙反胎影响颌骨的正常发育,需要尽早矫治,可以在乳牙列期开始,以便解除不良因素,引导颌骨向正常方向发育。
由于社会因素或个人因素的限制,有相当多的人错过矫正的好时期,但随着医学技术的发展,材料的不断改进,对成人错胎的正畸治疗也越来越普遍。成人只要牙周和口腔健康状况良好,都可以接受矫正治疗,同样可收到令人满意的正崎效果。
在一些口腔门诊中发现,有不少家长带着自己的小孩来就诊,要求拔乳牙、矫正及咨询等,其年龄多在8—10岁,该年龄段是乳牙与恒牙的交替期,出现新生恒牙萌出、乳牙滞留的重叠牙;长“虎牙”:上前牙正中牙间隙出现;新牙萌出拥挤等暂时性的错胎畸形。家长过早过急地要求尽快矫牙,遇到专业知识欠缺的“医生” 矫牙,多采用不合理的活动矫正器,结果事与愿违。在暂时性错胎(约8-10岁)进行矫牙、多数情况下是不合适的。
穗华口腔是您爱牙的放心之选
穗华口腔医院是拥有百年人文底蕴的暨南大学附属口腔医院临床教学医院,是广东省卫生厅批准成立的口腔专科医院,是集口腔诊疗、教学和科研为一体的现代化口腔综合医院,承诺永远以顾客的牙齿健康为必要因素,确保给顾客高性价比的口腔治疗,如果您还有什么问题或需要帮助,可在线咨询或拨打热线:020-62266666,将您的问题告诉在线医生,专家不仅能耐心为您分析解答,还能提供预约挂号的服务,让你就诊更方便快捷,“百度100遍,不如咨询一次”。