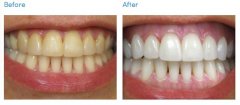
皓齿美白技术

随着医疗技术的不断进步,人们要想自己变得更加的美丽是件很容易的事情,有...【详细】
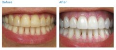
美国皓齿美白

由于生活习惯和外界环境的影响,很多人在不知不觉中有了变色牙。变色牙不仅...【详细】
牙齿迅速美白

灿烂自信的笑容里离不开洁白牙齿作为特征,齿若编贝自古以来就是美女的标准...【详细】
牙齿美白速效

由于生活习惯和外界环境的影响,很多人都在不知不觉中有了变色牙。外因性变...【详细】
暨南双星入围“2015CCTV体坛风云人物”提名奖

12月23日下午,2015CCTV体坛风云人物年度评选提名奖揭晓,暨南大学学子苏炳添、...【详细】
洗牙价位是多少?

牙齿健康美白能够让人焕发活力,散发出让人着迷的魅力,白牙一笑靓瞎人,那...【详细】
洗牙什么价钱?

每个人都想拥有一口皓白的牙齿,都想展露迷人的微笑,散发出感染人的魅力,...【详细】
洗牙一般价钱

洗牙能够维持人的口腔健康,保持牙齿的美白,不失为现代都市牙齿保健的项目...【详细】
洗牙多少钱一颗?

每个人都想有一口皓白的牙齿,都想展露迷人的微笑,如何让你的牙齿更洁白,...【详细】
洗牙多少钱一次?

洗牙是现代都市一个常见的牙齿保健方式,维护口腔健康,预防口腔疾病,保持...【详细】
版权:广州穗华口腔医院
备案号:粤ICP备15046903号
医疗广告审查证明文号:粤(A)广(2025)第1188号