洗牙的坏处

洗牙在医学上俗称洁牙,在发达国家是一种很常见的牙齿保健手段,可以彻底去...【详细】
洗牙对牙齿有坏处吗?

洗牙有益于口腔健康,但它并不适合所有人,而且也需要去正规的医院做正规的...【详细】
洗牙对牙齿有害吗?

洗牙可以防治牙结石,有益于口腔健康,但它并不适合所有人,而且也需要去正...【详细】
洗牙有危害吗?

洗牙有益于口腔健康,但它并不适合所有人,而且也需要去正规的医院做正规的...【详细】
全国体育学科学术带头人黄汉升教授受聘兼

12月18日,暨南大学敦聘福建师范大学党委书记、国务院学位委员会体育学科评...【详细】
光氟化牙美白

光氟化牙美白是近年来风行美国的牙齿美白技术,有超过百万人次接受过这项牙...【详细】
国务院侨办领导莅校宣布校领导任免决定

12月18日上午,学校在曾宪梓科学馆国际会议厅召开干部大会,宣布国务院侨办...【详细】
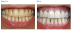
牙科如何美白牙齿?

色素牙并不是一天两天就能形成,因此,每天都不遗漏的牙齿清洁都挡不住牙齿...【详细】
专业美白牙齿的医院有哪个?

牙齿不重视很容易受到色素的烦扰,导致牙齿发黄发黑,影响个人的气质!作为...【详细】
皓齿美白技术

色素牙在生活中很常见,呈现黄色或黄褐色等现象,使人们的外貌美观大打折扣...【详细】
版权:广州穗华口腔医院
备案号:粤ICP备15046903号
医疗广告审查证明文号:粤(A)广(2025)第1188号