牙齿矫正,你适合哪种牙套?

成人由于社会活动较多,需要与人交往,戴传统铁齿铜牙的心理状态与青少年并...【详细】
牙齿矫正期间需要注意的事项

牙齿矫正需要一个漫长的时间,很多人都因为不细心,或觉得麻烦而造成许多不...【详细】
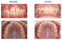
自锁托槽正畸技术如何矫正牙齿拥挤

如果牙齿出现了拥挤,一定要及时纠正,拥挤时间久了不但会牙疼,还会导致其...【详细】
牙齿不齐是如何产生的?

牙齿不齐是牙齿畸形中比较常见的一种,并且更具造成的危害分为不同的程度,...【详细】
地包天的种类有哪些?

地包天分为前牙反牙合、部分合并后牙近中错牙合几种表现方式。地包天会影响...【详细】
牙齿矫正反合需要注意什么事项?

牙齿反合,从正面可以看到明显的下颌突出情况,部分情况为两侧不对称,且伴...【详细】
牙齿矫正为何要拔牙?

从黄种人的情况来看大概50%的矫正病人是需要拔牙的,而且一般是拔掉四颗牙,...【详细】
冷光美白让氟斑牙不再是问题

氟斑牙是指牙齿发育的阶段,由于长期饮用高氟水源导致对牙釉质的不可逆损害...【详细】
冷光美白让牙黄不再是问题

唇红齿白是美丽一个重要标准,然而生活总有种种原因让人们的牙齿染色,发黄...【详细】
如何使冷光美白效果更长久?

牙齿 冷光美白技术 是现在一种比较先进、成熟的牙齿美白技术,对牙齿和身体...【详细】
版权:广州穗华口腔医院
备案号:粤ICP备15046903号
医疗广告审查证明文号:粤(A)广(2024)第255号