牙齿矫正后会有后遗症吗?

有部分想矫正的朋友认为,牙齿矫正后会造成牙齿松动,甚至牙齿掉光等后遗症...【详细】
地包天矫正什么时候效果好?

正常情况下,牙齿都是上牙包在下牙外面,如果下牙包在上牙外面的话就被称之...【详细】
地包天矫正步骤是怎么样的?

随着科学技术的发展,越来越多的地包天患者选择矫正来改善牙齿,矫正对于很...【详细】
地包天是怎么形成的?

地包天是一种严重的错颌畸形,是下前牙在上前牙的外面,十分影响面部的美观...【详细】
地包天的危害

暨南大学穗华口腔医院专家表示,牙齿地包天越早矫正越有好处,地包天对健康...【详细】
地包天矫正什么年龄好?

错颌畸形分三类,地包天属第三类,也是最难治疗的一类。有的正畸医生,把地...【详细】
暨南大学全媒体平台发布110周年校庆第一号公告

2016年11月16日,暨南大学将迎来110周年华诞。届时学校将诚邀各级领导、各位校...【详细】
暨南大学本科生在ONE SHOW中华青年创新竞赛中获一

11月11日晚,ONE SHOW中华青年创新竞赛、ONE SHOW中华青年创新营颁奖典礼在北京三...【详细】
装一个烤瓷牙多少钱?

对于贵金属烤瓷牙费用来说,因为其材料是采用金、银等贵金属,所以在费用上...【详细】
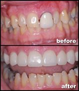
超薄瓷贴面完美修复牙齿缺损

人们常用唇红齿白形容长得健康漂亮,有一口洁白、整齐的牙齿,才能有灿烂的...【详细】
版权:广州穗华口腔医院
备案号:粤ICP备15046903号
医疗广告审查证明文号:粤(A)广(2025)第1188号