门牙缝大如何矫正?

不少人在牙齿的生长发育过程中,因为遗传或者不当的生活习惯导致门牙缝隙大...【详细】
牙齿难看怎么解决?

难看的牙齿,总是让我们不敢放声大笑,明星般的皓齿总是让我们羡慕不已。可...【详细】
eBrace舌侧隐形矫正技术完美矫正牙齿前突

牙齿前突:一般表现就是牙齿突出于正常的范围之外,在闭合时会有一定的影响...【详细】
地包天矫正会痛吗?

很多人在咨询时都有这样的担忧,随着人们生活水平和审美意识的提高,现在选...【详细】
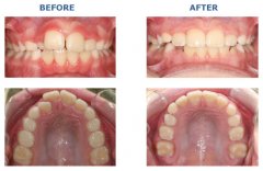
前牙拥挤怎么矫正效果好?

前牙过于拥挤不仅影响美观,而且平时清洁不够到位,会影响牙周炎、牙龈炎,...【详细】
牙齿矫正后为什么需要戴保持器?

牙齿矫正后只是万里长征走了一半, 接下来一定要戴保持器。因为此时牙齿在新...【详细】
做牙齿矫正会痛吗?

牙齿矫正是通过外力使牙齿排列整齐,会给人少许不适感,但想要变美多少还是...【详细】
地包天矫正要多少钱?

穗华口腔专家介绍:影响地包天矫正价格因素有很多,首先是地包天的矫正方法...【详细】
“嵌入式”服务高水平大学建设 图书馆联动13个

11月16日上午,在暨南大学110周年校庆启动之际,副校长饶敏在图书馆组织召开...【详细】
暨南大学教师获广东省首届心理健康教育课教学

11月7日,由广东省教育厅主办、广东高校心理健康教育与咨询委员会承办的大学...【详细】
版权:广州穗华口腔医院
备案号:粤ICP备15046903号
医疗广告审查证明文号:粤(A)广(2025)第1188号