学子在设计大赛中取得优异成绩

11月7日,由广东省物理学会主办、暨南大学承办的第十六届广东省大学生物理实...【详细】
林雄莅校调研代表人士建设工作

11月9日,广东省委常委、统战部部长林雄一行6人莅临暨南大学,看望暨大党外...【详细】
成人牙齿矫正需要注意什么事项?

成人骨骼发展已经定型,做牙齿矫正没有儿童那么容易,需要注意很多事项,那...【详细】
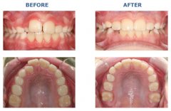
牙齿矫正后如何护理?

牙齿矫正可以塑造出一口健康美观的牙齿形态,将不整齐的牙齿排列整齐,避免...【详细】
牙齿矫正治疗中如何防脱钙?

随着口腔医学的发展,牙齿矫正治疗技术日益得到完善,矫正效果日益得到提高...【详细】
牙齿矫正治疗会出现什么危险吗?

牙齿矫正已经成为近年来塑造牙齿美观形态的有效方式,受到广大爱美人士的青...【详细】
牙齿矫正时怎么清洁口腔?

牙齿在矫正时清洁口腔很不方便,但是牙齿在任何时候维护口腔清洁卫生又非常...【详细】
牙齿矫正时应该少吃什么?

随着现代口腔医学的发展,牙齿矫正技术日益提高,矫正效果明显,很多牙齿畸...【详细】
牙齿矫正后怎么注意饮食?

牙齿矫正可以改变牙齿各种畸形问题,避免由于口腔问题而引发的口腔疾病,要...【详细】
牙齿矫正期间怀孕了怎么办?

世界往往有奇妙的事发生,有人在牙齿矫正期间突然发现自己怀孕了,这时应该...【详细】
版权:广州穗华口腔医院
备案号:粤ICP备15046903号
医疗广告审查证明文号:粤(A)广(2025)第1188号