苏国辉院士开讲:自强不息是人生的主旋律

11月5日,中国科学院院士、暨南大学粤港澳中枢再生神经研究院院长、香港大学...【详细】
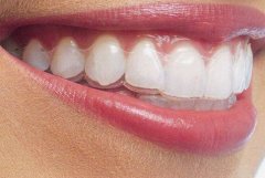
隐适美隐形矫正

美丽的笑容是我们形象的对外明信片,而笑容又离不开牙齿,所以拥有一口洁白...【详细】
牙齿不齐矫正有哪些方法?

牙齿不齐几乎是每个人都存在的问题,只有不齐的程度不同而已,在现代口腔医...【详细】
牙齿不齐可以怎么矫正?

牙齿不齐是普遍存在的现象,非常影响人的面部美观,影响人们外部形象的展示...【详细】
什么年龄矫正牙齿合适呢?

广州穗华口腔专家认为,牙列不齐的人越来越多是遗传和环境两大因素造成的。...【详细】
牙齿如何能快速矫正?

在现代时间就是金钱的时代,很多人都不想花费太多的时间去进行牙齿矫正,那么...【详细】
隐形矫正有什么好处?

广州穗华口腔医院专家介绍:隐形矫正具有传统矫正不可媲美的优点,效果显着...【详细】
牙齿矫正有哪些牙套?

外部形象对于人际交往有很大的影响,提升自己的形象有利于人际交往,而笑容...【详细】
孩子牙齿咬合不良什么危害?

孩子牙齿咬合不良,影响孩子身心健康,应该给予重视,那么孩子牙齿咬合不良...【详细】
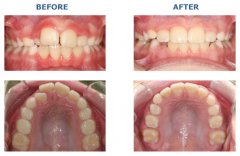
隐形矫正的效果如何?

牙齿矫正塑造牙齿健康美观的形态,让牙齿畸形患者重新拥有一口好牙,那么隐...【详细】
版权:广州穗华口腔医院
备案号:粤ICP备15046903号
医疗广告审查证明文号:粤(A)广(2025)第1188号